联系牙大夫
长沙市雨花区牙大夫口腔门诊部有限公司
电话: 0731-82480009
邮箱:1535369863@qq.com
地址:长沙市雨花区芙蓉中路395号都市阳光大厦1楼
-
-
如何预防小孩地包天?
喂养小孩方式:奶瓶喂养的时候如果靠得比较前、长期习惯仰卧吃奶以及母乳喂养时仰面吃奶的习惯,都会迫使宝宝向前伸下颌才能进行吸吮,时间久了就会使宝宝下颌骨及下牙弓前移,上牙弓受压,形成地包天畸形,所以在喂养的时候奶瓶角度是不超45度,而母乳尽量侧卧进...[查看更多]
-
-
龅牙、牙不齐、地包天孩子自卑的祸首 早发现早矫牙
后天的坏习惯会让孩子越长越丑,龅牙和地包天就是症状之一 现在牙齿畸形的孩子比较多,11岁躺在牙椅上的乐乐有点拘谨不敢说话。因为她上门牙突出,下牙歪歪扭扭,被同学起名“龅牙兔”。妈妈说乐乐换牙时,乳牙还没有彻底脱...[查看更多]
-
-
乳牙反牙颌不要紧,大错特错
现在很多家长认为乳牙反牙合不要紧,等换完牙齿后反牙合会自行改正的想法是不对的。 牙大夫口腔医生是这样介绍的:反牙合畸形患者,会严重地影响口腔、颜面、颌骨的生长发育,使患儿面中1/3发育受限,面下1/3发育过度,从侧面看,面形呈月牙状脸,影响美观...[查看更多]
-
-
地包天,犹豫了几年,直到21岁才开始矫正
我的牙齿问题:地包天,也就是俗话中的鞋拔子脸牙齿也不是很齐其实我牙也还算齐吧,但是笑的时候只能看到上牙跟舌头,看侧面能看出来脸部是往里凹的,被别人说是推土机,心里确实不舒服。17年11月份开始下定决心做矫正,12月缴费准备矫正,2018年1月正式开启矫正之旅。...[查看更多]
-
-
戴牙套真的没法好好享受美食了吗?
这是我戴上牙套的第三天。我的牙齿状况还可以,不需要拔牙补牙,确定方案后,漂亮姐姐先给我取模,然后洗牙,温柔的告诉我可能会有酸痛感,其实我除了嘴唇张太大麻木了没什么感觉。之后医生开始给我贴牙套,这次选用的是传统钢牙套,我躺在床上,望着天花板放空,没过一会,我的牙...[查看更多]
-
-
就算戴牙套 也改变不了我这个吃货属性
矫正第7周很幸运带牙套不影响我吃东西,嘿嘿。和大家分享一个刷牙三部曲,第一步:仔细认真检查牙齿牙套。第二步:用牙刷牙线牙缝刷耐心刷;第三步给自己一个会心的微笑。每周打卡觉得2018时间过得好快。可能年后就要戴下排牙套了矫正第9周她们看到我的牙套笑我[允悲]问我...[查看更多]
-
-
轻微反咬合矫正打卡记 嘴门牙缝隙在慢慢合拢
已经戴牙套一个月了,说说我这个月的感受吧。每天吃完东西一定要刷牙,确实很需要意志力呢!刚戴牙套的前三天牙会酸软,不能吃太硬的东西,过几天就适应啦。牙大夫的医生手法真不错,至今我没有因为牙套带来任何口腔问题。现在,在钢丝的作用下我的门牙的小缝隙已经慢慢在合拢啦~...[查看更多]
-

-
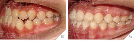
单科下侧切牙间距特别小的种植修复一例
姓名:吴小姐
年龄:20岁
牙症问题:地包天
专家:周权
真心感言:诉先天性地包天,一直很想改善,去过很多大型的口腔,都说矫正之后效果不好,所以我一直很苦恼,最后有做过矫正朋友的介绍,来到了...
[查看更多]



扫描二维码有惊喜咯
手机网站二维码