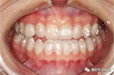
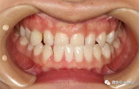
哈哈 牙套日记 FacingDiary 白 1 牙大夫口腔 其实带牙套这件事我高中就有想过,跟妈妈提过一两次我说地包天让我脸型很不好看,像戴牙套,不过以在妈眼中你永远是最漂亮的理由给拒绝了,不过我不听~ 高中毕业我就一直有在微博关注牙科医院,并看中了牙大夫,下定决心整牙是我上牙右边的那颗虎牙,在不知不觉中它变成了虫牙中间有个洞而且越来越大,刷牙还会疼。 借此机会约了医生检查牙齿,第一次去牙大夫接待我的是谈医生,拍完片后一直跟我还有妈妈耐心解释关于带牙套的问题,介于我在海南上学,回来也都是寒暑假,然后我每天要训练不适合戴钢牙所以选择的是隐适美。 这是我原先牙齿的情况 回家之后一顿撒娇一顿闹我妈都说我魔怔了,最后妈妈还是同意啦! 第二天早早就去弄牙模什么的,好多人都说那个牙模味道不好闻,只有我觉得是虾条的味道吗 我的主治医生是周权院长,看牙时候有一颗烂了很久的六龄牙就是院长拔的,不得不说技术是真的很好,一点都不痛!不知不觉就拔了,之前那个虎牙做根管治疗我真是疼怕了,每次去牙大夫看牙前台的小姐姐还有医生都很温柔非常好,等了一个多月之后终于要戴牙套啦↓↓ 输入 我的牙套一共有61副,路途 漫漫,需要坚持努力! 刚开始戴牙套的时候觉得会酸疼酸疼的特别是戴下一副牙套的第一、二天,不过这种疼都是小疼,我有同学带钢牙那才真是啥都咬不动看着都心疼,而且我很多同学现在都不知道我戴了牙套因为看不见哈哈哈 我的第一副牙套~ 还有就是开始觉得麻烦,吃点东西就得刷牙,有时候上完课直接去食堂吃饭的时候还得当众扣牙套哈哈哈非常不好意思,现在慢慢习惯一吃完如果在寝室就马上刷牙戴牙套,在外面就用漱口水,去哪儿都不忘记带漱口水和牙套。 还有! 我并没有因为带牙套少吃美食,这才是隐适美最大的好处吧哈哈哈 从第一天到今天,牙套君陪伴我已经2个月28天~ 输12 我一共有61副牙套! 从1月15号开始第一副到现在已经是第十副啦,牙齿应该有小小的变化,可是我的内心变化太大了,变得自信了哈哈,以前从不敢咧嘴大笑。 刚带的时候 小姐姐给我弄的DIY牙套盒 最后附上笑脸几张



