这是一个看颜的时代,虽说内在美非常重要,但是外在美同样不能缺失。它小到影响一个人给他人的初次印象,大到影响一个人的生活工作。
我们在追求精致美的时候,除了关注自己的五官,也要关注牙齿,因为牙齿的美观程度也会影响到个人形象!世界那么大,牙齿不齐怎么闯天下!
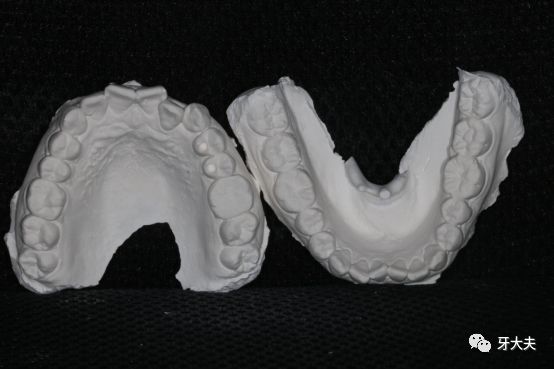
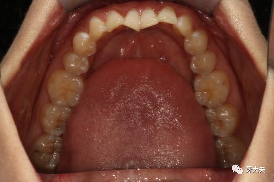
作为一名猪猪女孩,一直被人质疑为什么还要做矫正呢?以前我自己也是这样认为的,从来没想过要整牙,尤其那种钢牙套,还担心牙齿矫正了牙齿会松,牙齿会提前掉,等到自己真正尝试了才发现这些观念都是错的,我做的这一切都是值得的。 先上图。 看牙模更是一目了然这是在牙大夫拍的,是周院长为我看的诊,他说我这属于牙齿不齐,平常自己容易塞牙是有这方面的原因,周院长还和我说,牙齿不齐很容易导致口腔不易清洁,使食物残渣长期滞留,还会容易引起龋齿、牙结石、牙龈炎等,甚至引发牙周病,牙齿松动。
牙套初体验
2月27日,等待了两个月,终于等来了我的牙套,带上去不近看的话,真的看不出我带了牙套! 刚刚戴上的那一刻,真的像医生所说的那样,像绷紧的鞋带一样,戴了一会后,开始感觉牙套在加力,牙齿微微有些酸痛,过了一天后,基本没有感觉。 过了12天,开始戴第二幅牙套啦,牙齿有些细微的变化 第三副牙套了,粘了附件,附件感觉有点明显。 医生和我说,这些白色小附件主要是辅助牙齿移动和增强固位的。在佩戴隐形牙套的期间,附件需要与矫治器紧密贴合才能发挥辅助牙齿移动,增强固位的作用。虽然丑,也只能这样接受了(摊手) 目前,已经戴牙套带到了第五副,时间过的好快,1个多月已经过去了。从最开始戴牙套时的有点大舌头,到现在完全不影响,它已经慢慢融入了我的生活。附上近照一张。期待它慢慢的改变~ 小经验分享
牙套的好处和清洁 我觉得戴牙套最大的好处,就是让我更加注重口腔卫生,每次吃过饭后都会积极主动的刷牙,然后就是牙套的清洁了,因为每次人工洗总觉得洗不干净,在网上到处问了问,然后入手了一个超声波清洗机,天天用这个清洗牙套,在这里真的要安利一下超声波清洗机,超级好用,还不伤牙套,想购买的宝宝们某宝就有售。 戴着牙套对日常生活有影响吗? 隐形牙套的一大好处就是可自行摘戴!在矫正过程中丝毫不会影响你继续做个合格的吃货。 不过医生叮嘱过我,佩戴牙套的时候尽量不要吃带有色素的饮料,可乐,咖啡,浓茶,咖喱等食物,以免牙套染色。 看到上图中的蓝色点点么,那个是依从性指示器,会从逐渐蓝色变成无色,这是隐适美青少年系列矫矫治器中的设计,方便家长和医生检测孩子佩戴的时间是否满足要求,非常适合成长期的孩子们。 从此你的包里会多哪些标配? 牙套盒、咬胶、牙刷、牙膏、牙线,是我开始戴牙套后一直随身携带的工具。不管是在办公室、家里、餐厅,吃完饭都要第一时间跑去洗手间刷牙,戴牙套。每次刷牙的次数变多了,感觉嘴里都清爽多了,感觉自己变得更加自信,更加爱笑了!
牙大夫小隐叨叨 感谢小姐姐的倾情分享,也非常期待你摘下牙套的那一刻,继续坚持,牙大夫小隐一直在关注你哦!



