记得高中时,陪朋友去一个小诊所看牙齿,顺便让牙医帮忙看了一下我的牙齿,那个老牙医非常耿直的对我说了一句话:姑娘,你这是人牙?狗牙都比这整齐一点。
就是这一句话让我开始注意自己的牙齿,小时候觉得牙齿不齐,有小虎牙啊笑起来很可爱,反正也不痛,也不影响吃东西,家里人也就没有这个意识会想说牙齿不整齐需要去医院整一下。
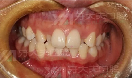
先放一张矫正前的牙齿照片辣一下你们的眼睛。

2016.8.25矫正前
直到我到长沙来读书,才有了机会开始了解牙齿矫正,也是因为到牙大夫进行口腔检查,我才了解到我除了牙齿不齐之外还有这么多牙齿问题。
这是我矫正前在牙大夫拍的牙齿照片。

矫正前我的主治医生罗主任告诉我,要拔四颗牙。说实话一开始我的心里是拒绝的,我是天生的怕痛星人,而且听朋友说拔智齿很痛,心里的抗拒又更多了一点。但是为了能笑得更好看,我还是赞同了这个方案。复诊前可以说是被恐惧包围了,还幻想了各种场景如果我拔牙后吃不了东西怎么办?
然而拔牙的时候证明我完全想多了,哈哈哈哈,可能是我要拔的几颗牙都比较乖吧,我都没太多感觉牙齿就拔完了。不过我在网上找的煮粥的帖子还是派上了用场,因为第二天真的不想吃饭!

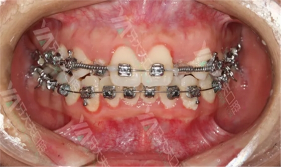
因为开学学校事情很多,我拖到第二个月才开始戴牙套(其实就是拖延症患者的强词夺理,嘻嘻嘻,图片有点小恐怖,慎点哦)

才戴牙套的那几天,连吃饭都小心翼翼,也不敢用门牙咬,心里老记着罗主任说的要用后面的牙齿吃饭。不过到后来适应了之后,就开始百无禁忌的随便吃了,哈哈哈哈。对了,戴牙套吃火锅千万别点金针菇香菜等东西!这是来自一个牙套前辈的血泪教训。
455天,我终于取下了牙套,迎来了大口吃肉,张口大笑的生活,这是我现在的牙齿,是不是变化超大的!




