
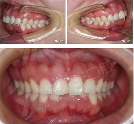
2016年06月09日夏,在医生给我进行了一系列的拍照拍片之后,我了解到了我这个情况在学术上被称作“深覆合”。百度百科上给它的解释是:深覆牙合是一种上下颌牙弓和(或)上下颌骨垂直向发育异常所致的错颌畸形。指的是上前牙切缘盖过下前牙牙冠长度1/3以上或下前牙咬合于上前牙舌侧1/3以上者。
深覆合
百度百科上给它的解释是:深覆牙合是一种上下颌牙弓和(或)上下颌骨垂直向发育异常所致的错颌畸形。指的是上前牙切缘盖过下前牙牙冠长度1/3以上或下前牙咬合于上前牙舌侧1/3以上者。

我才知道这单单是美观的问题了,它还直接影响着我的健康。本来纠结年龄太大的我,还是毅然决定进行矫正。
矫正过程中看着自己的牙齿一点一点的改变真的很兴奋,虽然过程有点漫长,但是在这过程中真的是一天比一天更自信。从才开始不愿意张口不愿意让别人看到我戴了牙套,到后面晒牙套照越来越频繁,平时的与人交流方面也不再扭扭捏捏了,可以说是一个意外的收获吧。

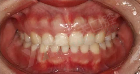
在这期间我也和我的牙套君相处得越来越融洽了,以至于上个月客服小姐姐发消息约我拆牙套的时候我还有一点失落感,哈哈哈。拆下牙套后,龙医生给我看了我整个牙套过程拍摄的面相和口内照,差点喜极而泣。
有点丢脸,但真的觉得这一年多走来真的很不容易,但看到前后对比,顿时觉得一切的辛苦和努力都是值得的。


我的牙齿比较小颗,所以口内照拍出来不太好看,但是自己自拍什么的真的是整齐好看,重点是咬合调整好了,微笑的幅度也很好看。
等我下个月拍艺术照了,再来继续po图哦。


