牙套日记|大龄矫正女:也想有个崭新的面貌面对今后的人生
我是2016年3月份开始戴上牙套的,今年3月份已经拆牙套,目前是在戴矫正器。
先讲下我的情况,开始矫正的时候已有28岁,社会人一枚,大龄箍牙了,对于我戴牙套,周围家人朋友不很理解。
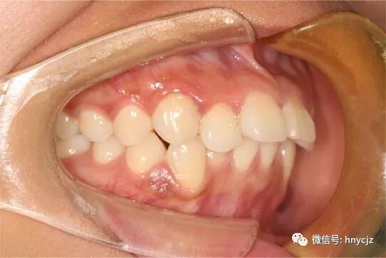
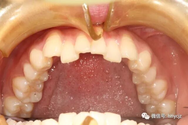
上牙其实我的面型有点微凸,看上面那张上牙的门牙那几颗有一丢丢龅牙,借用崔医生的医生专业术语属于前牙深覆颌,
下牙下牙这颗牙齿是有够不整齐,借用崔医生的医生专业术语就是牙弓狭窄牙列拥挤。
其实读初中的时候,家里就让我箍牙,指不定现在脸就会小点了,其实我整牙的很大的动力来源自己的崽崽,有几次和崽崽拍照的时候,因为没有笑,崽崽还以为自己不高兴。自打有了崽崽后,真心希望改变以前的自己,想从爽朗的开口大笑开始,这才下定决心去整牙。
这个是我正面照,笑起来有点尴尬
我选择了在自己生活的地方长沙做,在几家医院中挑选了下,最后选了长沙牙大夫口腔。我的主治医生是崔医生,给我的方案是全口矫正,扩弓调整弓形,排齐牙齿,耗时2年,今年3月11号拆除矫正器,已经戴保持器一个多月了,目前正美美的度着五一假。
其实矫正牙齿还是需要很大的勇气的,在网上查资料的时候,看到很多人的矫正方案中会涉及到拔牙,医生给我的方案是拔除四号牙,当时说的时候感觉心坠坠的,不过到拔牙的时候也没有什么感觉。术后效果也挺满意。
另外是每月复诊,复诊一次可能一到七天都不能正常吃饭,因为牙齿会有酸疼的感觉,吃东西尽量吃那些清淡点的,嘴里也容易磨疱,口腔溃疡也经常光顾,这点真心让我头疼。
后面在医生建议下 ,开始使用了粘膜保护蜡,直接贴在溃疡对应的牙套上,后面才开始好受些。幸好家里人都不介意我戴牙套的样子,自己也越来越自信。
牙齿也变得越来越整齐
最后也是最重要的是一定要注意保持自己的口腔卫生,只要吃过东西就一定要刷牙,矫正期间适当减少零食和饮料,是真的会慢慢瘦的。尽量不吃粘性食物,如口香糖、年糕等,也别吃过硬的食物,如啃骨头。
虽然两年的时间比较漫长,但是这一切都是值得的,我也相信今后的人生,我能够更加自信的面对。
附上近照一张,我选择的是钢牙套,如果觉得刚圈很难看话,也可以选择隐形牙套,当然价格相对贵些~\(≧▽≦)/~!




扫描二维码有惊喜咯
手机网站二维码